Orthodontics
八重歯や出っ歯に代表されるような悪い歯ならびを不正咬合と言います。
不正咬合を放っておくと虫歯や歯周病になりやすく、また上下の歯のかみ合わせを狂わせてしまうので、頭痛や肩こりの原因となることもあります。この不正咬合の状態から正しいかみ合わせへ歯を誘導させること、ナチュラルな口元、明るい笑顔を創りだすこと、それが矯正治療の大きな役割です。
良いかみ合わせから健康が生まれ、さらに美しい口元、自信に満ちた明るい笑顔も生まれるのです。

当院では、矯正歯科専門の歯科医師が治療を行っております。
ご相談は無料で行っておりますので、どうぞお気軽にお問合せ下さい。
矯正治療担当医
Lingual Bracket
当クリニックでは、全ての患者様に歯の色に近い白色のブラケットを装着し、審美面についても十分配慮しております。
また、ご希望の方には歯の裏側に装置を装着する「見えない矯正治療」も行っておりますので、お気軽にご相談ください。
歯の裏側に矯正装置をつけるので、全く装置が見えません。誰にも気付かれずに治療することが可能です。
「歯並びを治したいけど、仕事や時期の関係で難しい」と治療を迷われている、接客業や人前に出るお仕事をされている方、就職活動や結婚式・成人式などを控えている方、治療中の周囲の目が気になるという方はぜひ一度ご相談ください。治療期間も表からの装置と変わりません。
Expense

当院では、検査・診断料を除く全ての治療費をトータルで提示した『トータルフィーシステム(定額制)』を取り入れております。
毎回の調整料や治療途中の追加料金は発生しません。
治療を開始する前に矯正治療にかかる全ての費用をお伝えしますので、明確な料金で矯正治療終了まで安心して治療を続けていただけます。
無 料
22,000円
88,000円
330,000円
唇側矯正(上下表側)
715,000円
舌側矯正(上だけ舌側)
990,000円
見えない矯正(上下舌側)
1,320,000円
マウスピース矯正(SURESMILE)
715,000円

お支払いが分割の場合は、金利手数料無料の最大48回払いまで可能です。
治療開始時に装置・調整料をご一括払いされる方は事務手数料として5%引きを適用いたします。
Cases
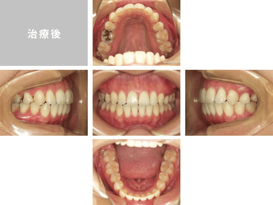
歯の裏側に矯正装置をつけるので、全く装置が見えません。周囲の目による治療中のストレスを最小限に抑えることができます。
治療期間 … 2年
治療期間 … 1,320,000円
リスク … 歯の移動に伴う痛みを感じる場合があります。一時的に発音がしにくくなる事があります。
来院理由 … 上の歯が出ており笑うことが恥ずかしい。





歯が重なりあって、歯並びがでこぼこしていましたが、重なりがとれ奥歯までしっかり咬めるようになり、口元もすっきりしました。
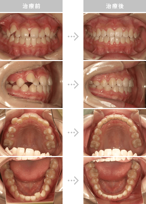
治療期間 … 1年
治療期間 … 679,250円
リスク … 歯の移動に伴う痛みを感じる場合があります。
来院理由 … 歯がガタガタで上手く噛むことができない。

歯が前方に突出し、前歯で咬めない状態でしたが、前歯の位置が後ろに下がり、口元も自然な形に改善されました。
治療期間 … 2年
治療期間 … 770,000円
リスク … 歯の移動に伴う痛みを感じる場合があります。
来院理由 … 歯が出ており口が閉じられない。

下の歯が上の歯より前に出ている状態でしたが、咬み合わせは改善され、自然な口元になりました。
治療期間 … 2年
治療期間 … 770,000円
リスク … 歯の移動に伴う痛みを感じる場合があります。
来院理由 … 下の歯が出ている。

食べ物が挟まりやすく、見た目も悪い状態でしたが、隙間もなくなり審美・機能ともに改善しました。
治療期間 … 1年
治療期間 … 715,000円
リスク … 歯の移動に伴う痛みを感じる場合があります。
来院理由 … 歯の隙間が気になる。
